Learning Beyond the Operating Room with Dr. Vedel-Holst and Dr. Jørgensen
Industry
Nonprofit/Charity
Mentee
Najannguaq Jørgensen, orthopedic resident (Greenland)
Mentor
Anders Vedel-Holst, MD, neurosurgery consultant (Denmark)
Equipment Used
Facilitation by Ohana One, TeleVu Software, M400 Smart Glasses
Remote Work
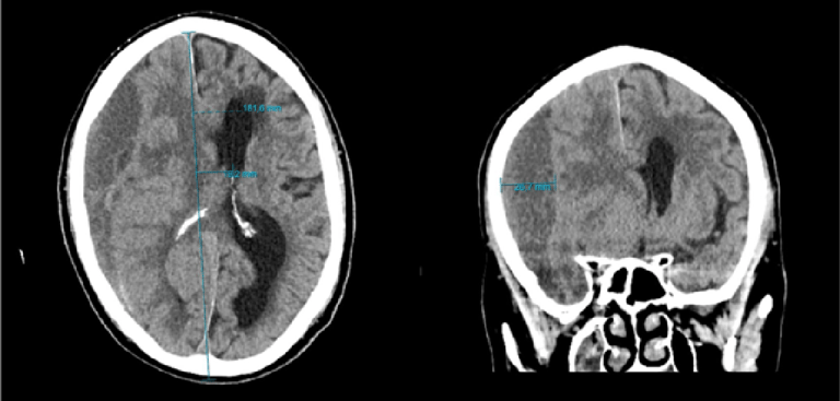
The patient, a 74-year-old man was admitted to the Queen Ingrid's Hospital in Nuuk with worsening dizziness, persistent tendency to fall, and headache following a minor head trauma approximately 2 months prior to admission. CT imaging of the cerebrum reveals a right-sided chronic subdural hematoma causing compression of the entire right hemisphere and the lateral ventricles. The hematoma measures 26.7 mm at its broadest point, resulting in a 20 mm leftward displacement of the midline structures.
A right-sided chronic subdural hematoma with mass effect and midline shift was identified. The procedure, performed by orthopedic resident Dr. Najannguaq Jørgensen, involved creating a burr hole to remove the hematoma and irrigate the affected area.
Dr. Anders Vedel-Holst, a senior consultant in neurosurgery, served as the remote viewer, providing mentor support to the surgeon wearing the glasses. Through the use of the remote viewing system, Dr. Vedel-Holst guided the procedure by pointing, drawing, and directing the surgeon in real-time, ensuring precise execution and offering critical insights throughout the operation.

Related case studies
Remote Collaboration Enhances Surgical Training at Kenyatta National Hospital
Real-Time Mentorship from South Africa to Ethiopia with Dr. Biruk Bekele and Dr. Milind Chitnis
